Un modo nuovo di concepire gli espansori palatali
Fondato su anni di ricerca e clinicamente testato1, l'Invisalign® Palatal Expander System offre un approccio rivoluzionario all'espansione scheletrica.


Scopri i numerosi vantaggi del trattamento intercettivo con Invisalign Palatal Expander System.
Progettato pensando a te e ai tuoi pazienti.
Trattamento clinicamente efficace2
Il trattamento Invisalign Palatal Expander raggiunge gli obiettivi clinici per ottenere l'espansione della sutura palatina mediana.
Workflow semplice e digitale
Si integra facilmente nel workflow dello studio dopo una semplice scansione iTero™.
Riduzione del tempo delle visite
Comporta meno complicanze e meno visite di emergenza3 rispetto agli apparecchi tradizionali, con un potenziale risparmio di tempo delle visite.
Esperienza del paziente positiva
Gli Invisalign Palatal Expander offrono il risultato desiderato, con meno dolore4 e ansia per i pazienti e i loro genitori.
Trattamento clinicamente efficace2
Il trattamento Invisalign Palatal Expander raggiunge gli obiettivi clinici per ottenere l'espansione della sutura palatina mediana.
Workflow semplice e digitale
Si integra facilmente nel workflow dello studio dopo una semplice scansione iTero™.
Riduzione del tempo delle visite
Comporta meno complicanze e meno visite di emergenza3 rispetto agli apparecchi tradizionali, con un potenziale risparmio di tempo delle visite.
Esperienza del paziente positiva
Gli Invisalign Palatal Expander offrono il risultato desiderato, con meno dolore4 e ansia per i pazienti e i loro genitori.
Scopri il design all'avanguardia dell'Invisalign Palatal Expander.
Con l'Invisalign Palatal Expander System, i pazienti sperimentano un maggiore comfort5 e una minore ansia.
Superficie linguale uniforme per il comfort del paziente.
Copertura palatale con spessore personalizzato per ogni paziente.
Maniglia di rimozione per facilitare inserimento e rimozione.


Ridefinisci l'esperienza alla poltrona per i tuoi pazienti e per il tuo staff.
Semplifica le visite per la consegna e la rimozione dell'espansore con Invisalign Palatal Expander System.
Inserimento dell'Invisalign Palatal Expander System
Gli Invisalign Palatal Expander sono semplici da inserire. La maggior parte dei bambini è in grado di farlo da solo. Gli Invisalign Palatal Expander sono anche semplici da rimuovere, per facilitare l'igiene orale.


Intercetta un problema che si sta sviluppando e che, se non trattato, potrebbe peggiorare nel tempo.
L'ambito clinico di Invisalign Palatal Expander in sintesi:
Indicazioni per il trattamento: il sistema viene utilizzato per l'espansione rapida dell'arcata superiore stretta (mascellare superiore, arcata dentale e denti, palato) con dentizione decidua, mista o permanente durante un trattamento ortodontico o ortopedico e il successivo mantenimento.
Profilo del paziente: pazienti in fase di crescita o adulti (in combinazione con interventi chirurgici o di altro tipo, se necessario).
Numero di espansori e mantenitori: illimitato6 con una data di scadenza del trattamento di 18 mesi.
Durata tipica del trattamento: circa 1 mese di espansione attiva, a seconda della gravità del caso.




Scopri cosa dicono i tuoi colleghi di questo nuovo ed entusiasmante metodo di trattamento dei casi di Fase I.
L'Invisalign Palatal Expander System è più comodo e altrettanto efficace5.
degli Invisalign Provider intervistati raccomanderebbe l'Invisalign Palatal Expander System ai colleghi7.
dei pazienti trattati con gli Invisalign Palatal Expander ha indossato il dispositivo per il tempo stabilito durante il trattamento espansivo8.
degli Invisalign Provider intervistati afferma che i bambini trattati con l'Invisalign Palatal Expander System hanno una migliore qualità di vita rispetto a quelli trattati con gli espansori palatali tradizionali9.
degli Invisalign Provider intervistati raccomanderebbe l'Invisalign Palatal Expander System ai colleghi7.
dei pazienti trattati con gli Invisalign Palatal Expander ha indossato il dispositivo per il tempo stabilito durante il trattamento espansivo8.
degli Invisalign Provider intervistati afferma che i bambini trattati con l'Invisalign Palatal Expander System hanno una migliore qualità di vita rispetto a quelli trattati con gli espansori palatali tradizionali9.
Accedi al potere della semplicità.
Fornisci un trattamento su misura per l'espansione progressiva con un workflow semplificato.
Passaggio 1: gli espansori e i mantenitori personalizzati stampati in 3D vengono creati per ogni paziente in base alla sua anatomia unica, dopo una semplice scansione iTero.
Passaggio 2: i pazienti procedono con una serie di espansori rimovibili a piccoli incrementi.
Passaggio 3: una volta raggiunta l'espansione desiderata, gli Invisalign Palatal Holder vengono sostituiti ogni 2-4 settimane per stabilizzare il palato.
Nota: gli espansori e i mantenitori sono mantenuti in posizione grazie ad attachment10 che vengono fissati ai denti del paziente per aiutare a mantenere l'apparecchio saldamente in posizione.




Passa senza interruzioni al trattamento Invisalign First™.
Abbinati agli aligner trasparenti Invisalign First™, gli Invisalign Palatal Expander offrono ai medici una soluzione completa per il trattamento precoce, che comprende l'espansione scheletrica (ortopedica) e dentale (ortodontica) dell'arcata. Scopri di più sul trattamento di Fase I con gli aligner Invisalign First.




Scopri i casi clinici in primo piano.
Insieme, stiamo migliorando il modo in cui il trattamento intercettivo precoce viene fornito ai pazienti in fase di crescita.
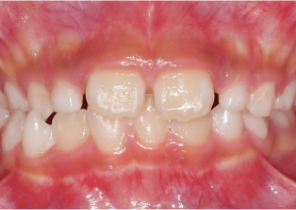
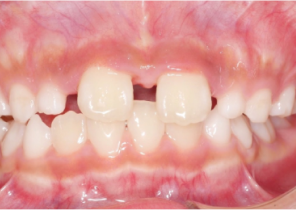
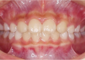
Report sul Caso 1
10 anni 0 mesi, 18 fasi di Invisalign Palatal Expander
Per gentile concessione della Dott.ssa Sandra Khong Tai


Pre espansione Invisalign Palatal Expander


Post espansione Invisalign Palatal Expander


Dopo il trattamento Invisalign First


Pre espansione Invisalign Palatal Expander


Post espansione Invisalign Palatal Expander


Dopo il trattamento Invisalign First
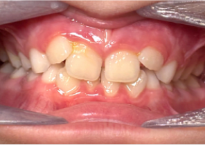
Report sul Caso 2
7 anni 11 mesi 24 fasi di Invisalign® Palatal Expander
Per gentile concessione del Dr. David R. Boschken


Pre espansione Invisalign Palatal Expander


Post espansione Invisalign Palatal Expander


Dopo il trattamento con Invisalign Palatal Expander


Pre espansione Invisalign Palatal Expander


Post espansione Invisalign Palatal Expander


Dopo il trattamento con Invisalign Palatal Expander
Domande frequenti
Per ulteriori domande o per la guida completa alle domande frequenti, contatta il rappresentante Invisalign di zona.
1. Che cos'è l'Invisalign® Palatal Expander System?
L'Invisalign Palatal® Expander (IPE) System è il primo dispositivo ortodontico di Align stampato direttamente in 3D (fabbricato in modo additivo) per effettuare l'espansione scheletrica dei pazienti in fase di crescita. Consiste in una serie di Invisalign® Palatal Expander e di Invisalign® Palatal Holder rimovibili prescritti dal medico.
2. Di cosa è fatto l'IPE?
Gli Invisalign Palatal Expander e gli Invisalign Palatal Holder sono realizzati in poliammide-12, un polimero noto anche come nylon 12, un tipo di nylon.
3. Quanti mm al giorno di espansione? Posso controllare l'espansione in modo che sia minore per ogni fase?
Dopo la Fase 0 (passiva), ogni fase è programmata per l'espansione attiva e 0,25 mm di movimento per fase.
Gli espansori possono essere sostituiti ogni giorno per un'espansione rapida o meno frequentemente per un'espansione lenta, a discrezione dell'Invisalign Provider.
4. Qual è l'applicabilità dei casi dentali per l'IPE?
È necessario seguire l'applicabilità del caso dentale. Pazienti idonei:
3 denti stabili per quadrante sull'arcata superiore
Altezza della corona di almeno 4 mm
Primi molari permanenti (sesti)
Primi molari decidui (D) o primi premolari (quarti)
Secondi molari decidui (E) o secondi premolari (quinti)
I secondi molari permanenti (settimi) possono essere erotti, ma il dispositivo non li coprirà
I canini (C/terzi) possono essere erotti, ma l'IPE non li coprirà
Potrebbero non essere idonei:
Corone cliniche corte:
Su denti con corone cliniche corte (<4 mm) o su primi molari permanenti superiori non stabili, secondi molari decidui superiori e primi molari decidui superiori può verificarsi una mancanza di ritenzione del dispositivo o una difficoltà nel fissaggio degli attachment.Restauri dentali:
Su denti con corone in acciaio inossidabile o altri tipi di restauri dentali può verificarsi una ritenzione insufficiente del dispositivo, una forza eccessiva sui restauri e/o difficoltà nel fissaggio degli attachment.
I pazienti con corone in acciaio inossidabile potrebbero essere idonei al trattamento a discrezione dell'Invisalign Provider (si tenga presente che il dispositivo Invisalign Palatal Expander coprirà questi denti).
Pazienti con patologie palatali:
Esostosi o palatoschisi.
Non applicabile per il trattamento:
Dente mancante sotto l'IPE (cioè, D/quarti, E/quinti e sesti)
Solo dentizione decidua (cioè, sesti non ancora erotti)
5. Quante fasi sono previste? I dispositivi sono spediti tutti insieme? Vengono spediti 1 o 2 dispositivi per ogni fase?
Una serie di Invisalign Palatal Expander viene spedita come 1 dispositivo per ogni fase. Eventuali fasi aggiuntive devono essere ordinate dal modulo di prescrizione.
Il numero di fasi viene stabilito dall'Invisalign Provider in base agli obiettivi clinici:
Il numero di fasi di espansione viene stabilito in base alla quantità di espansione desiderata, come specificato nel modulo di prescrizione: ogni fase è programmata per un'espansione di 0,25 mm al giorno e la quantità massima di espansione che può essere ordinata è di 12 mm. L'Invisalign Provider può interrompere l'espansione in qualsiasi momento in base alle osservazioni/preferenze cliniche e ordinare gli Invisalign Palatal Holder. Gli Invisalign Palatal Holder devono essere ordinati a parte nel modulo di prescrizione.
Anche il numero di fasi di mantenimento è stabilito dall'Invisalign Provider in base al periodo di durata del mantenimento (in settimane). Il mantenitore è una copia dell'ultima fase dell'espansore ed è destinato a stabilizzare il palato dopo l'espansione attiva; viene sostituito ogni 2-4 settimane.
Gli espansori e i mantenitori vengono spediti separatamente: i mantenitori vengono fabbricati dopo aver raggiunto l'espansione attiva desiderata e dopo che l'Invisalign Provider ha specificato nel modulo di prescrizione a che punto iniziare la fase di mantenimento.
6. Qual è lo spessore di ogni fase? È lo stesso per ogni fase?
Lo spessore del dispositivo viene calibrato su misura in base all'anatomia unica di ogni paziente. Anche lo spessore della regione palatale è calibrato su misura per garantire il massimo comfort.
7. L'IPE crea una forza/pressione uguale per ogni fase? Oppure la forza/pressione varia?
Il dispositivo è destinato ad applicare una forza trasversale uguale o simile in ogni fase del trattamento, ma tale forza può variare in base all'anatomia del paziente.
8. I pazienti devono rimuovere l'IPE per mangiare? Se possono mangiare indossando l'IPE, devono evitare dei cibi o delle bevande?
Non è necessario rimuovere il dispositivo per mangiare o bere, ma è consigliabile sciacquare bene la bocca dopo ogni pasto.
Attenzione: masticare cibi duri, appiccicosi o zuccherati (inclusi i chewing gum) mentre si indossa il dispositivo può danneggiare il dispositivo e/o i denti ed è perciò da evitare. Bere bevande zuccherate o acide può danneggiare i denti ed è perciò da evitare.
Prima di inserire il dispositivo, i pazienti devono spazzolare i denti e usare il filo interdentale. In mancanza di uno spazzolino da denti, possono limitarsi a sciacquarsi la bocca e pulire il dispositivo tenendolo sotto l'acqua corrente.
I pazienti non devono gettare le bustine originali perché servono per conservare i dispositivi usati.
Nota: gli Invisalign Provider devono valutare caso per caso se il paziente può rimuovere il dispositivo per mangiare (tenendo in considerazione l'età del paziente e la sua capacità di rimuovere e inserire il dispositivo) e devono ribadire ai pazienti e ai loro genitori o tutori l'importanza di seguire una corretta igiene orale e le istruzioni per l'uso e la cura del dispositivo. Gli Invisalign Provider devono fornire ai pazienti le Istruzioni per l'uso e la cura del dispositivo. È possibile richiedere una copia cartacea attraverso la scheda "Assistenza" dell'Invisalign Doctor Site.
9. Quali scanner posso utilizzare?
In base all'attuale applicabilità del processo aziendale, Align Technology, Inc. accetta al momento solo scansioni eseguite con gli scanner intraorali digitali iTero disponibili in commercio (offerti da Align Technology, Ltd.). Non sono accettate impronte in PVS o scansioni di terze parti. Per le istruzioni d'uso complete, consulta il manuale d'uso dello scanner iTero.
Quando si esegue una scansione per un trattamento di espansione palatale, le scansioni devono acquisire le superfici del palato, delle gengive e delle corone.
Tutti gli scanner intraorali digitali con marchio iTero possono essere utilizzati con l'Invisalign Palatal Expander System. Per informazioni sugli scanner disponibili nel tuo mercato, consulta il sito web iTero o contatta l'assistenza clienti.
10. Quali materiali posso utilizzare per gli attachment?
Per un elenco delle combinazioni di agenti leganti e compositi consigliate per l'uso con l'Invisalign Palatal Expander System, in base ai test di resistenza all'adesione eseguiti da Align Technology, consulta la guida rapida all'IPE.
11. A quali denti vengono fissati gli attachment?
Sesti ed E (in alternativa, i quinti se sono erotti a sufficienza).
12. Qual è la copertura dei denti dell'IPE/quanti denti sono coperti con l'IPE?
Sono coperti 3 denti (D, E, sesti), ma gli attachment sono fissati su 2 denti.
